- 악궁확장을 통해 비발치 교정이 가능합니다.
- 좁은 악궁으로 인한 치아 문제를 개선합니다.
- 비대칭, 돌출입, 주걱턱과 같은 얼굴형의 개선이 가능합니다.
- 예방을 위해 시행될 경우 덧니, 부정교합의 예방이 가능합니다.
정교한 캡 교정치과만의 특별한 치아교정, 더 성공적인 치료결과를 만듭니다.
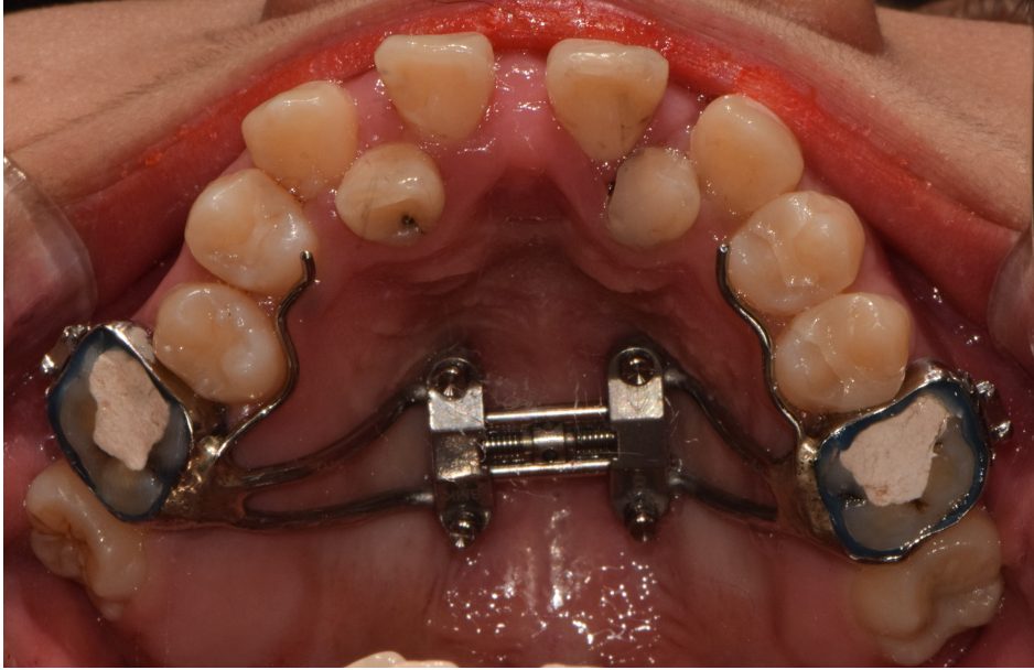
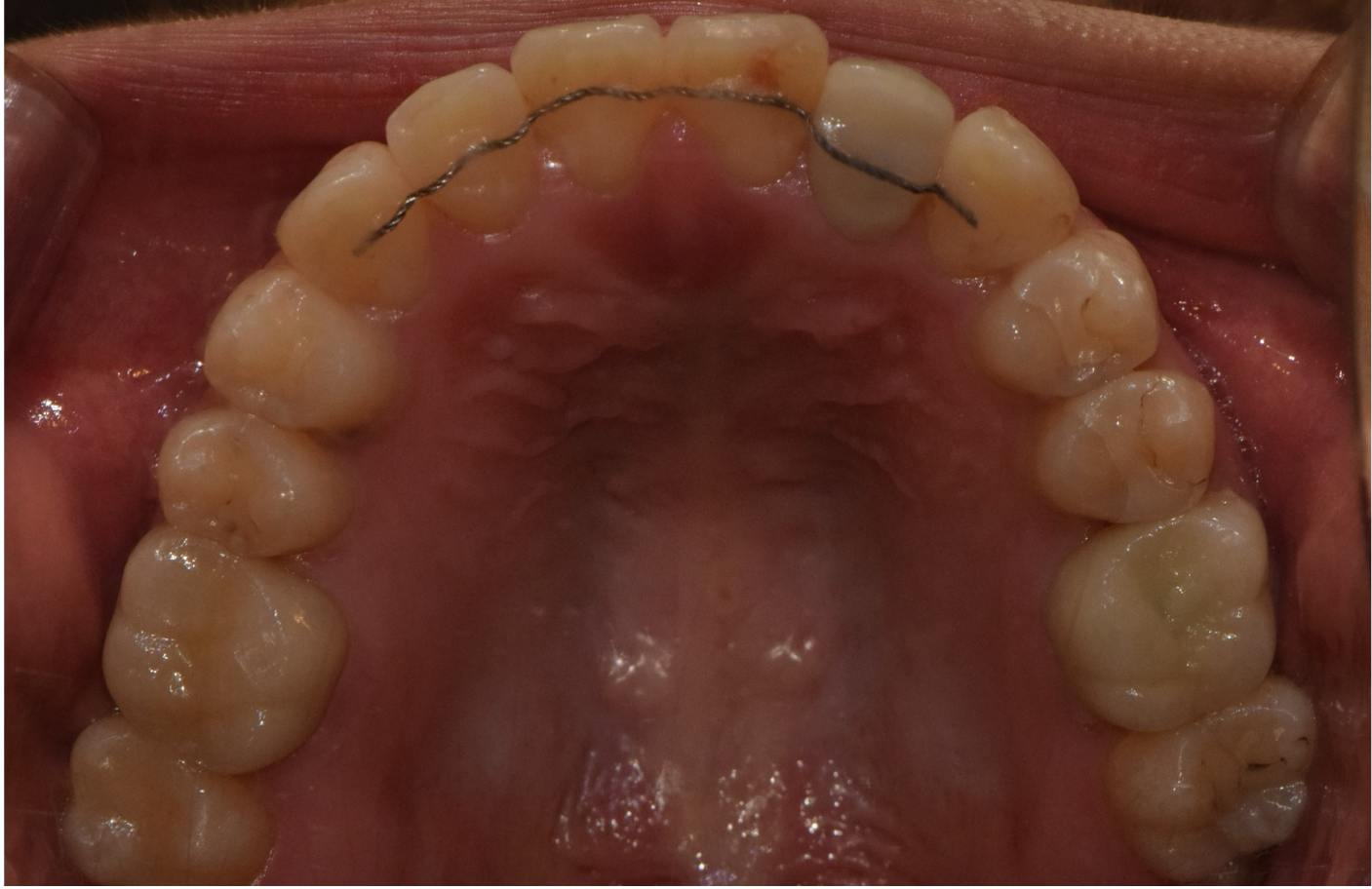
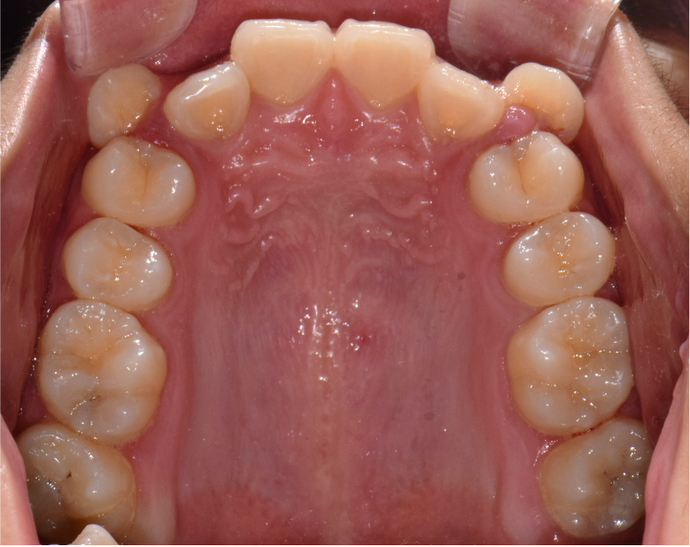
상악 악궁이 좁을 경우에는 하악을 편안하고, 안정적으로 수용하지 못하기 때문에 치아의 배열이 고르지 못하고, 이로 인해 돌출입, 주걱턱과 같은 문제가 생기게 됩니다. 이러한 경우 악궁확장을 통해 미리 증상을 예방하거나 이미 문제가 발생한 경우 시행하여 안정적이고, 바른 치아배열을 만들 수 있습니다. 아래사진은 주걱턱 개선을 위해 양악 수술을 할 줄 알고 큰 근심을 가진 환자를 상악궁 확장을 통한 비수술-비발치 교정으로 치료한 증례입니다.

좁은 악궁을 가진 케이스

악궁확장 후 변화
정교한캡교정치과에서는 일반 교정법에 더해 악궁확장, 바이오 교정, 노브라켓 교정과 같은 효과적인 교정법을 활용하여 더 효율적인 치료, 만족스러운 치료결과로 이어지도록 만듭니다.
환자의 상태(구개골의 두께, 지대치의 상태 등)를 고려하여 적절한 악궁확장 장치를 사용합니다.









환자분의 증상에 따라 이뤄지는 세부적인 진단을 바탕으로
일반적인 교정법 + 다양한 교정법을 활용하여
더욱 효과적인 치아 교정치료를 진행하고 있습니다.